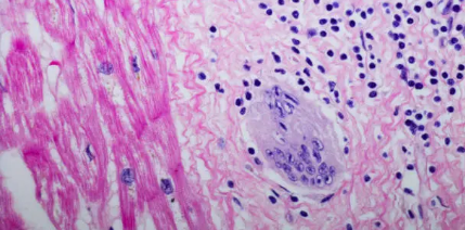
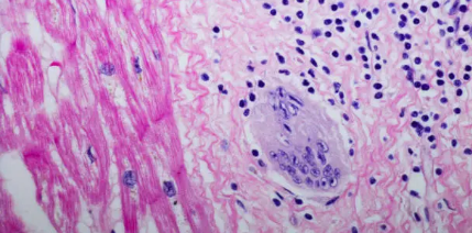
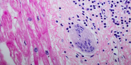
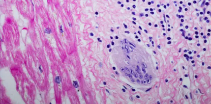
사르코이도증은 자주 오해받는 복잡한 염증 질환으로, 염증 세포로 이루어진 작은 결절인 육아종이 형성되는 것이 특징입니다. 이러한 육아종은 신체의 다양한 기관에서 발생할 수 있으며, 가장 흔하게는 폐와 림프절에 영향을 미칩니다. 사르코이도증은 다발성 기관을 침범하는 질환이지만, 매우 다양한 증상과 예측 불가능한 경과로 인해 진단과 관리가 어려운 경우가 많습니다. 이 글에서는 사르코이도증을 의학적 관점에서 자세히 분석하고, 이 질환과 관련된 위험 요소, 가장 흔하게 나타나는 호흡기 증상, 그리고 질환이 효과적으로 관리되지 않을 경우 발생할 수 있는 잠재적 합병증에 대해 다룹니다.

사르코이드증의 위험
사르코이도증은 연령, 성별, 인종에 관계없이 누구에게나 발생할 수 있는 질환이지만, 특정 집단에서 더 높은 위험이 있습니다. 사르코이도증과 관련된 위험 요소를 이해하는 것은 조기 진단과 개입에 중요하며, 이는 환자의 예후를 크게 개선할 수 있습니다.
인구학적 및 유전적 위험 요소
사르코이도증은 주로 20세에서 40세 사이의 성인에게 진단되며, 여성에서 약간 더 자주 발생합니다. 인종은 사르코이도증 발병 위험에 중요한 역할을 합니다. 예를 들어, 아프리카계 미국인은 백인에 비해 이 질환을 발병할 가능성이 훨씬 높습니다. 또한, 아프리카계 미국인에서 사르코이도증은 더 심각한 경과를 보이며, 만성 질환과 합병증의 가능성이 높습니다. 유전적 요인도 위험에 기여하는데, 가족 중에 사르코이도증 환자가 있는 경우 발병 가능성이 더 높습니다. 특정 인간 백혈구 항원(HLA) 유전자형과 같은 유전적 표지는 사르코이도증에 대한 취약성과 관련이 있지만, 정확한 메커니즘은 아직 연구 중입니다.
환경적 및 직업적 노출
유전적으로 소인이 있는 사람들에게 환경적 요인이 사르코이도증 발병에 중요한 역할을 하는 것으로 여겨집니다. 먼지, 곰팡이, 특정 화학 물질과 같은 환경적 인자에 노출되는 것이 질환 발병과 연관되어 있습니다. 특히 무기 먼지, 살충제 또는 기타 자극 물질과 접촉하는 직업적 노출도 사르코이도증 발병 위험을 증가시키는 것으로 알려져 있습니다. 정확한 환경적 유발 요인은 아직 명확하지 않지만, 현재 진행 중인 연구는 질환의 발병에 기여할 수 있는 특정 인자를 식별하는 데 중점을 두고 있습니다.
면역 체계의 이상 반응
사르코이도증은 알려지지 않은 항원에 대한 비정상적인 면역 반응에서 기인하는 것으로 여겨집니다. 사르코이도증 환자의 면역 체계는 과활성화되어 다양한 기관에 육아종이 형성됩니다. 이러한 반응을 유발하는 특정 항원이 아직 확인되지 않았지만, 이 질환은 유전적 소인, 환경적 노출, 면역 체계의 이상 반응이 복합적으로 작용하는 것으로 보입니다. 면역 반응의 이러한 이상 조절은 사르코이도증의 병리 발생에서 중심적인 역할을 하며, 이는 현재 연구가 진행되고 있는 중요한 영역입니다.
호흡기 증상
사르코이도증은 대부분의 경우 폐를 침범하며, 사례의 90% 이상에서 폐가 영향을 받습니다. 호흡기 증상은 경미한 것부터 중증에 이르기까지 다양하며, 환자의 삶의 질에 큰 영향을 미칠 수 있습니다. 이러한 증상을 조기에 인식하고 관리하는 것이 장기적인 폐 손상을 예방하는 데 중요합니다.
기침 및 호흡 곤란
사르코이도증의 가장 흔한 호흡기 증상 중 하나는 지속적인 마른 기침으로, 이는 환자에게 매우 성가시고 지칠 수 있습니다. 이 기침은 주로 신체 활동 중에 나타나는 호흡 곤란과 동반됩니다. 이러한 증상은 폐 조직의 염증과 육아종 형성으로 인해 기도가 뻣뻣해지고 순응도가 낮아져 환자가 숨쉬기 어려워지기 때문에 발생합니다. 일부 환자에서는 호흡 곤란이 질환이 충분히 통제되지 않을 경우 더 심각한 호흡 곤란으로 진행될 수 있습니다.
흉통 및 쌕쌕거림
일부 사르코이도증 환자는 흉통을 경험할 수 있으며, 이는 경미한 불편감에서 심장마비를 연상시키는 더 심한 통증에 이르기까지 다양합니다. 이 통증은 종종 폐와 흉강을 둘러싸고 있는 얇은 막인 흉막의 염증으로 인해 발생합니다. 또한, 쌕쌕거림(호흡 중 발생하는 고음의 휘파람 소리)은 특히 육아종이 기도의 협착을 초래하는 경우 사르코이도증의 증상이 될 수 있습니다. 이러한 호흡기 증상은 환자에게 두려움을 줄 수 있으며, 종종 의료적 도움을 요청하게 만드는 원인이 됩니다.
폐 기능에 대한 영향
시간이 지남에 따라 치료되지 않거나 적절히 관리되지 않은 사르코이도증은 폐 조직의 흉터(섬유증)를 유발할 수 있으며, 이는 폐 기능의 현저한 저하로 이어질 수 있습니다. 폐 기능 검사는 사르코이도증의 폐 침범 정도를 평가하는 데 일반적으로 사용되며, 질병의 중증도를 평가하고 치료 결정을 안내하는 데 도움이 됩니다. 진행된 경우, 폐 섬유증은 호흡 부전을 초래할 수 있으며, 이는 집중적인 의료 관리가 필요한 생명을 위협하는 상태입니다.
합병증
사르코이도증은 주로 폐를 침범하지만, 다른 기관에도 영향을 미쳐 다양한 합병증을 일으킬 수 있습니다. 질환의 다발성 시스템 특성은 관리가 어려우며, 신체의 거의 모든 기관에 영향을 미쳐 제대로 치료되지 않을 경우 심각한 결과를 초래할 수 있습니다.
심장 관련 합병증
사르코이도증 환자에서, 특히 폐 침범이 심하지 않은 경우에도 심장 사르코이도증은 심각한 합병증이 될 수 있습니다. 심장은 다양한 방식으로 영향을 받을 수 있으며, 심장 근육 내 육아종 형성, 전도 시스템 이상, 심부전을 포함할 수 있습니다. 심장 사르코이도증의 증상으로는 심계항진, 어지러움, 실신(실신), 심한 경우 갑작스러운 심장사까지 포함될 수 있습니다. 심장 사르코이도증은 생명을 위협하는 합병증을 예방하기 위해 조기 발견과 적극적인 치료가 필요합니다.
신경계 합병증
신경 사르코이도증은 사르코이도증이 신경계를 침범한 경우를 의미하며, 침범된 신경계 부위에 따라 다양한 증상을 나타낼 수 있습니다. 흔한 사례로는 안면 신경 마비, 발작, 두통, 인지 기능 저하 등이 있습니다. 신경 사르코이도증은 다른 신경 질환과 증상이 유사할 수 있어 진단이 특히 어렵습니다. 신경 사르코이도증을 확인하고 치료를 안내하기 위해서는 철저한 평가, 영상 검사, 경우에 따라 뇌척수액 분석이 필요합니다.
만성 피로 및 삶의 질
만성 피로는 사르코이도증의 흔하고 쇠약하게 하는 증상으로, 환자의 삶의 질에 크게 영향을 미칠 수 있습니다. 이 피로는 신체 활동의 수준과는 불균형하게 나타나며, 활성 질환이 없는 경우에도 지속될 수 있습니다. 사르코이도증 관련 피로의 원인은 완전히 이해되지 않았지만, 이는 질환과 관련된 전신 염증과 면역 조절 이상과 관련이 있을 수 있습니다. 피로 관리는 활성 질환의 의료적 치료, 물리 치료, 일부 경우 심리적 지원을 포함하는 종합적인 접근이 필요합니다.
'질병 관련' 카테고리의 다른 글
| 포스트헤르페스 신경통의 원인 만성 통증 삶의 질 (1) | 2024.08.29 |
|---|---|
| 콜레라의 역사 위생의 역할 유행 관리 (0) | 2024.08.29 |
| 가와사키병의 유래 감염성 요인 면역 반응 (1) | 2024.08.28 |
| 뎅기 출혈열의 혈액 검사 임상 평가 전세계적 유행 (1) | 2024.08.27 |
| 연골무형성증의 유전자 돌연변이 신체 발달 성장 호르몬 치료 (0) | 2024.08.27 |